Latest Science and technology.

iphone-mockup

The SCIENCEAND TECHNOLOGY PRESS

16/07/2023 SUNDAY

Ryugu asteroid samples are sprinkled with stardust older than the solar system”

Samples of the asteroid Ryugu contain bits of stardust that predate the birth of our solar system. Slivers of Ryugu material, snagged by the Japanese Hayabusa2 spacecraft, appear to come from the solar system’s frozen fringes, rather than from the asteroid itself, scientists report July 14 in Science Advances. These foreign fragments could illuminate details of the solar system’s history. Finding these fragments “is really unique,” says cosmochemist Ann Nguyen of NASA’s Johnson Space Center in Houston. “It’s showing us a new type of material, but also telling us about the dynamics of material from the outer solar system.”

Bees Make Better, Faster Decisions About Things That Are Important to Them: Research

Wahington,july 15: Honey bees must balance effort,risk,and reward while making quick and accurate decisions about which blooms will supply food for their hive.According to ac recent study published in the journal elife,honey bees have evolved over millions of years to make swift decisions and limit the danger.The study enhances our understanding of insect brains, how our brains evolved and how to design better robots.

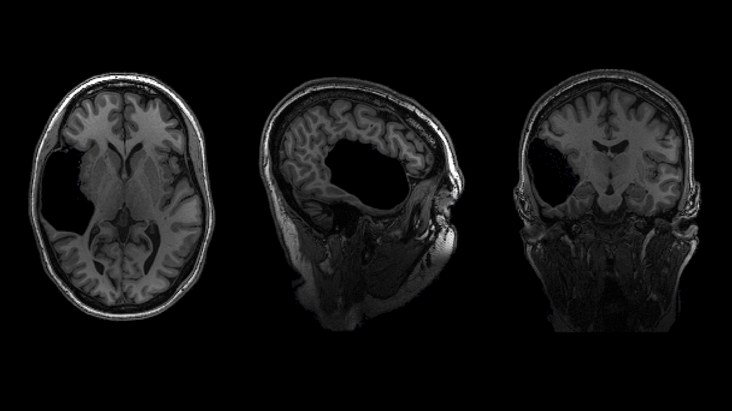
Elyse G.’s brain is fabulous. It’s also missing a big chunk

Nick Dee, the neuroscientist charged with quickly cutting the chunk into neat pieces, confers with his colleagues. “We can trim off that ugliness on the side,” he says. The “ugliness” is the brain’s connective tissue called white matter. After Dee and his team do their part, pieces of the woman’s brain will be whisked into the hands of eager scientists, where the cells will be photographed, zapped with electricity, relieved of their genetic material and even infected with viruses that make them glow green and red.

Researchers introduce transparent optical imager with near-infrared sensitivity and touchless interface

Researchers at the Dutch Organization for Applied Scientific Research, Asahi Kasei Corporation, Eindhoven University of Technology and imec recently introduced a new optical imager with near-infrared sensitivity that could support touchless operation. This imager, introduced in a paper in Nature Electronics, could be applied on top of various device displays, ultimately allowing users to operate them using gestures or a penlight (i.e., a pen that acts as a flashlight). Many of the touchless user interfaces proposed in recent years allow users to control devices using hand gestures. These interfaces typically rely on the use of near-infrared cameras, cameras that can precisely sense environments in low lighting conditions. While some of these systems can effectively pick up gestures, they often have a limited field of view and demanding calibration requirements. The researchers at the Dutch Organization for Applied Scientific Researchers and their colleagues set out to develop an optical imager that could overcome these limitations, and that could be easily integrated with commercially available displays. "We report a touchless user interface that is based on a visually transparent near-infrared-sensitive organic photodetector array and can be used on top of a display," Takeshi Kamijo, Albert J.J.M. van Breemen and their colleagues wrote in their paper. "Optical transparency is achieved by using a printed copper grid as a bottom transparent conductive electrode and an array of patterned organic photodetector subpixels." The optical imager introduced by Kamijo, Breemen and their colleagues appears transparent to the human eye. It can also be easily placed in front of conventional and widely available displays, which greatly improves its field of view and positional accuracy.

Can AI chatbots replace human behaviour in behavioral experiments?

Generative language models, as these AI systems are known, have taken the world by storm. Perhaps the best known is OpenAI’s series of GPT models, which power the ChatGPT chatbot. But other major tech companies, including Google and Meta, are plowing resources into their own models. After being trained on massive amounts of text from books and web pages, these models have an uncanny ability to mimic verbal human behavior. They have already found use in writing computer code, summarizing legal documents, and powering chatbots that tutor students or conduct therapy. Now, researchers are considering AI’s ability to impersonate human subjects in fields such as psychology, political science, economics, and market research. No one is yet suggesting that chatbots can completely replace humans in behavioral studies. But they may act as convenient stand-ins in pilot studies and for designing experiments, saving time and money. Language models might also help with experiments that would be too impractical, unethical, or even dangerous to run with people. “It’s a really interesting time,” says Ayelet Israeli, a marketing professor at Harvard Business School who believes the models’ impact on behavioral research could amount to a “revolution.” “Some of these results are just astonishing.”

Politicians, scientists spar over alleged NIH cover-up using COVID-19 origin paper

Two scientists who are co-authors of a 3-year-old article on the origin of the COVID-19 pandemic faced down Republican lawmakers today in what might be the most in-depth discussion ever of a scientific paper in the halls of the U.S. Congress. At a House of Representatives subcommittee hearing, Republicans asserted that top officials at the U.S. National Institutes of Health (NIH) prompted the researchers to write the paper to try to “kill” the theory that SARS-CoV-2 leaked from a laboratory in Wuhan, China. Evolutionary biologist Kristian Andersen of Scripps Research and virologist Robert Garry of Tulane University’s School of Medicine, two of the article’s five co-authors, flatly rejected the allegation. And as the hearing extended over 3 hours, committee Democrats chided their colleagues on the other side of the aisle for staging a “vendetta” and “weaponization” of the origin discussion, and for slinging “baseless allegations” that amounted to a “mission to destroy two people” and “vilify” public health experts.

Our brains may process silence and sounds the same way

Can you hear the sound of silence? It’s a question that may seem better suited to a philosophy class (or a Simon & Garfunkel concert) than a science lab, but a new study published today in the Proceedings of the National Academy of Sciences suggests people really can “hear” the absence of noise. If the finding holds up, it could help researchers better understand the way the human auditory system processes sound, as well as the lack thereof. “We can certainly appreciate silences, cognitively,” says Ned Block, a philosopher at New York University who wasn’t involved in the work. “But the question of whether we appreciate them perceptually is another matter.”

Chandrayaan 3 launch highlights: India takes first step towards lunar soft landing with near-perfect Chandrayaan-3 launch

The historic Chandrayaan-3 mission launched on Friday will undergo a crucial 40-day phase as the "onboard thrusters would be fired and taken further away from Earth for an eventful landing on Moon's surface," Director of Vikram Sarabhai Space Centre S Unnikrishnan Nair said. Speaking to reporters in Thiruvananthapuram on Saturday, Nair said that the launch vehicle has performed extremely well and the initial conditions required for the spacecraft have been provided "very precisely".